Medical Matters

Abstract. An observation of cannibalism among sibling Varanus timorensis in captivity is presented. It issuggested that cannibalism may not be common in V. timo...

Abstract. Animal welfare is a high priority for pet owners and accredited zoos and aquariums. Current approachesto measuring welfare focus on identifying consen...

Abstract. A five-year-old Varanus exanthematicus weighing 3.4 kg was presented with a solid mass on the palmar surface of its rear left foot. During clinical ex...

Abstract. The recently discovered fungal pathogen Batrachochytrium salamandrivorans (Martel et al. 2013) (hereinafter referred to as Bsal) has already received ...

Abstract. In this article I report observations on multiple parthenogenetic events in the Argus monitor (Varanus panoptes) in captivity. Two individually-housed...

Abstract. During the artificial incubation of a clutch of Varanus prasinus eggs, one egg ruptured. Thisarticle describes the successful repair of this egg, alon...

Abstract. Despite its low population densities and restricted geographical distribution in the eastern and southern African countries of Kenya, Tanzania, and Z...

Abstract. A Varanus acanthurus brachyurus egg ruptured during artificial incubation. To repair theegg, a small piece of eggshell was taken from a previously hat...

Abstract. Reptiles are reservoirs of a wide range of pathogens, including many protozoa, helminths, pentastomids, and arthropod parasitic species, some of whic...

Abstract. Paraffin wax and a section of latex medical glove were used to patch a black tree monitor(Varanus beccarii) egg that ruptured after 118 days of artifi...

Abstract. The successful captive reproduction and osteological deformities of a Varanus prasinus arereported. Incubation took 170 days at a temperature of 30 °C...

Abstract. Exotic pets are essentially animals that are non-native to a region and/or nondomesticated. The trade in and keeping of exotic pets has been frequent...

Abstract. Batrachochytrium salamandrivorans (B.sal) is a newly-discovered species of chytrid fungus that can infect and kill a wide range of newts and salamand...

Abstract. There is increasing evidence for concern of the role humans may play in the transport and transmission of herpetofaunal pathogens. This is especially...

Abstract. Most reptiles in captivity have come directly from the wild. Hence, the assumption appears to be justified that the majority of infectious and parasi...

Abstract. Adequate supplementation of calcium and other nutrients including vitamin A is integral to successfully holding insectivorous amphibians and reptiles...

Abstract. Several papers over recent years have looked at the practice of gut loading feeder insects for the purposes of improving nutrient composition of thes...

Abstract. The importance of gut loading insects with calcium is a critical component of an insectivorous animal's diet. The insect used in this study for calci...

Abstract. In response to global amphibian declines and extnctons, the IUCN has recommended the establishment of ex situ conservaton breeding programmes. Howeve...

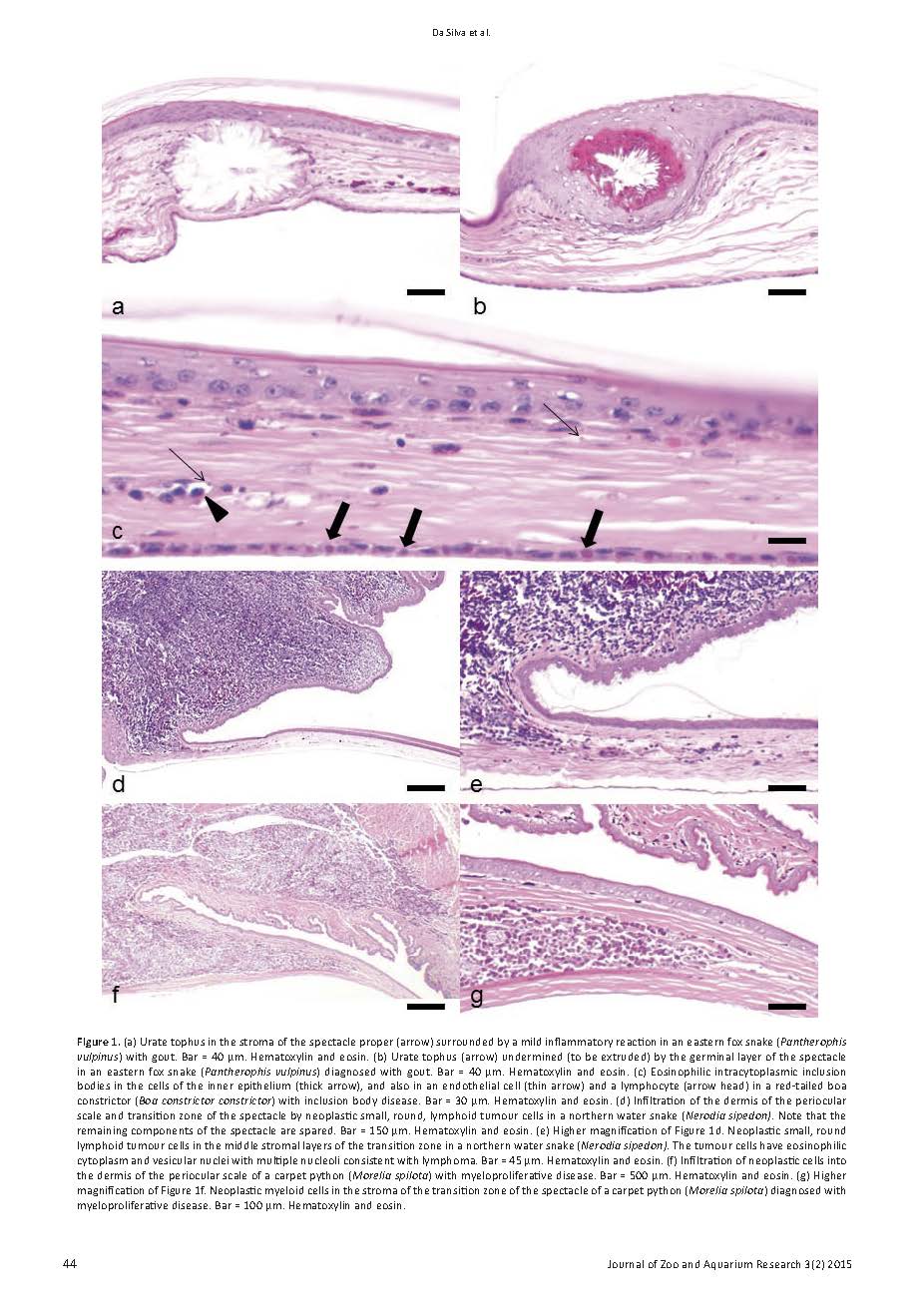
Abstract. This paper reports histopathological fndings in the spectacles of four snakes diagnosed with systemic gout, inclusion body disease, disseminated lymp...

Abstract. Two modes of sex determination occur in squamates: genotypic sex determination (GSD)and temperature-dependent sex determination (TSD). Within each of...

The phenomenon of environmental sex determination (ESD) in reptiles has been highly publicized in recent years. However, the underlying mechanism(s) that contr...

Download ...

Abstract. Fecal samples from 56 snakes at the Vital Brazil Institute, in the city of Niterói, Rio de Janeiro, were tested using the sedimentation and flotation ...

Abstract. Exotic reptiles originating from the wild can be carriers of many different pathogens and some of them can infect humans. Reptiles imported into Slov...

Abstract. The importance of nutrition has not received much recognition in conservation biology. However, captive breeding is possible only if nutritional requ...

Abstract. Insects fed to captve insectvores are defcient in calcium with inverse calcium to phosphorous ratos (Ca:P), and supplementaton is required to avoid n...

Abstract. The successful introduction of reptiles into a captive collection depends on providing optimal husbandry and veterinary attention. An important role ...
Shopping cart





